ENFERMEDAD DESCOMPRESIVA: Etiopatogenia y síntomas. Antonio Viqueira Caamaño
Concepto
La práctica del buceo lleva consigo el riesgo de padecer la denominada Enfermedad Descompresiva (ED) o Síndrome de Descompresión Inadecuada.
Se considera la ED como aquella respuesta patológica a la formación de burbujas de gas procedentes de los gases inertes disueltos en los tejidos cuando se produce una reducción suficiente de la presión ambiental.
Durante el buceo (compresión) se produce un aumento de las presiones parciales de los gases inertes en alvéolo, sangre, tejidos y células que da lugar a la absorción y disolución (saturación) de los mismos en el organismo. La cantidad de gas absorbida es proporcional a la presión parcial del gas (Ley de Henry), al coeficiente de solubilidad y al tiempo de exposición, aunque influyen además la temperatura, el riego sanguíneo y la presión tisular, la tasa metabólica, producción de CO2, etc.
Durante el regreso a la superficie del buceador (descompresión) ocurre lo contrario: el gas se libera desde los tejidos al invertirse el gradiente de presión y sale hacia la sangre, pulmones y exterior (desaturación). Si la velocidad de liberación del gas es excesiva pasa de la fase de solución a la formación de burbujas (Sobresaturación).
Los fenómenos de formación de burbujas que van a causar ED pueden deberse a algunos de los siguientes factores (Elliott & Kind-Wall 1982):
Errores en la teoría de la descompresión: Las bases teóricas para el calculo de la descompresión son modelos matemáticos que se ajustan a una mayoría significativa de la población (1-5 % fallos en descompresiones correctamente aplicadas según tablas).
Errores en la practica: Accidentales (muy frecuentes) e intencionados. Respuesta anormal del individuo (factores somáticos y/o ambientales): Se aprecia un aumento de ED con la edad (a partir de los 45años) y obesidad (Walder 1966, CBA 1985), así como la deshidratación. Las aguas frías predisponen a la ED (Tobias 1943, Cook 1951), los caucasianos presentan mayor incidencia de ED que los negros, y mientras las mujeres no presentan susceptibilidad especial a la ED el embarazo parece prevenirla de alguna manera. El ejercicio antes, durante y después de las inmersiones aumenta el riesgo de ED. Los aspectos psicológicos, hora del día y estación del año de las inmersiones y el papel del CO2 son algunos de los factores que así mismo parecen alterar la incidencia de ED sin que hasta el momento existan conclusiones unánimes.
Frecuencia de la ED
La incidencia de ED en la US Navy entre 1968/81 se estima en una probabilidad de 17/1000 buceos.
En España entre 1957 y 1985 a nivel de la Armada se han tratado 207 pacientes (147 militares y 61 civiles), de los cuales 112 casos (54,1 %) era ED Tipo I y 75 (36,23 %) Tipo II, con una tasa de mortalidad promedio que oscila entre el 0,9 – 7 % anual, y un índice de mortalidad global en el mismo periodo del 0,61 %.
A nivel de buceo deportivo, según datos de la Mutua General Deportiva, existe un 3,13 % de índice de morbilidad y un 0,88 % de índice de mortalidad, con respecto al numero total de federados en actividades subacuáticas entre los años 1976/80.
Tiempo de presentación de la clínica
El periodo de latencia entre la llegada a la superficie y el establecimiento de los síntomas puede llegar hasta 36 horas, pero en general la mayoría presentan sintomatología antes de 1 hora y el 95 % antes de transcurridas 6 horas. La ED puede aparecer en el agua al llegar a la presión atmosférica y dentro de simuladores de presión (10 % casos).
Clasificación de la ED
Generalmente se divide en dos tipos: ED Tipo I para la sintomatología leve y ED Tipo II para los cuadros que se consideran graves. La ED Tipo I, (Golding 1960) comprende el dolor (“bend”) y la clínica cutánea- linfática (“skin-bend”), que comprende el purito, manchas erisipeloides y escarlatiniformes y los trastornos linfáticos.
La ED Tipo II o grave, incluye la sintomatología que afecta al SNC, SNP (lesiones espinales, paresias, paraplejias, problemas de esfínteres), la patología de origen pulmonar (“chokes” o “sofocación”) y los problemas que afectan al sistema vestibular. La patología de otros órganos y sistemas (gastrointestinal, etc.) se incluirían aquí aunque son raras. No es excepcional la aparición de ED acompañada de barotrauma pulmonar con embolia gaseosa (ver capitulo de sobre expansión pulmonar).
La osteonecrosis disbárica se estudia normalmente aparte de la clínica de ED, aunque parece presentar bastantes puntos fisiopatológicos en común.
Fisiopatología
Desde los trabajos de Lyttleton (1855), Boycott y Damant (1908) se admite sin demasiadas controversias que la causa fundamental de la ED es la nucleación de burbujas en los tejidos. El lugar de formación primario no esta aclarado, si bien se a observado aparición de burbujas a nivel intersticial e intralinfático al inicio de las descompresiones. Una vez formadas (sea “de novo”, a partir de núcleos de gas preexistentes, o por alteraciones del volumen critico) tienen dos efectos principales sobre el organismo:
– El efecto mecánico: que provocaría obstrucción de vasos y disrupción a nivel de los tejidos, dando lugar, p.e., al dolor por compresión de una terminal nerviosa o lesiones cutáneo-linfáticas.
– Efecto de superficie: a nivel de la denominada interfase sangre-burbuja se provoca una alteración en la configuración de las proteínas globulares. La burbuja se recubriría de una capa proteo-lipídica y algunas de las proteínas alteradas adquieren entonces actividad biológica como es la activación de Factor de Hageman (VIII) y la adherencia de plaquetas. Se han objetivado agregación plaquetaria, estimulación de la coagulación y liberación de sustancias vasoactivas como la serotonina, histamina y kininas, capaces de provocar dolor. Se produce además una perdida de plasma entre el 20 – 60 % de su volumen inicial en la ED severa, que a llegado a constatar hematocritos hasta el 68 % en humanos, y un aumento de la viscosidad sanguínea por tanto. Estos disturbios provocan alteración de la perfusión en determinadas zonas, los procesos de coagulación se aceleran depositando fibrina en las zonas de estasis lo cual perpetua de alguna manera la obstrucción vascular inicial provocada por las burbujas, agregación plaquetaria y agregados de glóbulos rojos. El tejido isquémico resultante sintetiza y libera prostaglandinas que causan vasoconstricción, dificultad de movilidad de la burbuja y por tanto retroceso de la redisolución y pérdida del gas que la misma contiene.
Teorías alternativas a la de las burbujas seria (Swindle y End 1937 – 1938) quienes atribuyen los “bends” a isquemia provocada por aglomerados de eritrocitos. Walder (1969), Abdulla (1967) Hill (1971) plantean los efectos osmóticos del N2, alteraciones en los clatratos, o situaciones clínicas que cursan con “sludging” (barro, fango) sin que aparezcan cuadros similares a los de la ED, como otras vías en la patogénesis de la ED. Las burbujas formadas tienden a eliminarse por el sistema venoso y pulmones. Se las divide (Fructus 1983) en: no detectables mediante ultrasonidos, detectables sin repercusión clínica y las que cursan con sintomatología de ED. En el pulmón se va a producir un filtrado de la mayoría de las burbujas y de muchas de las sustancias vasoactivas formadas en la interfase sangre-burbuja. Cuando la embolización es masiva y sobrepasa la capacidad “desgasificadora” del pulmón aparecerá hipertensión pulmonar y síntomas de la ED como los “chokes”.
A nivel del sistema nervioso, aunque el cerebro representa el 98 %, la mayoría de la clínica de ED es de tipo espinal (78 % de los casos). Hallenbeck (1976) y Wolkiewiez (1979) demuestran la presencia de trombosis en los senos venosos paravertebrales. Los síntomas atribuidos al SNC se atribuyen bien al escape de burbujas por el filtro pulmonar, bien a la formación “in situ”.
La patología vestibular de la ED es compleja. Desde Keays (1935) se atribuye a la presencia de burbujas a nivel del laberinto, observándose en estudios en animales, hemorragias y destrucciones óseas. Véase esquemas I, II y III.
ED Tipo I:
Incluye aquellos casos en los que el dolor (“bend” – participio pasado del verbo to bent = doblarse, encorvarse) es el único síntoma. Algunos autores (Kid & Elliott 1969) engloban dentro de la ED Tipo I la clínica cutáneo – linfática (“skin – bends”), denominándose genéricamente a ese grupo “Enfermedad descompresiva cutáneo – musculo – esquelética”.
El DOLOR fue el primer síntoma observado en los trabajadores de los cajones de aire comprimido. (RIGER 1945); es agudo, progresivo, se percibe alrededor de las articulaciones o profundo de los huesos y/o músculos. Si no se trata convenientemente tiende a incrementarse. Los bends afectan sobre todo a los pilotos y trabajadores del aire comprimido en los miembros inferiores, mientras que a los buceadores las articulaciones con síntomas son de manera primordial las superiores (ELLIOTT 1969, RIVERA 1964). Raras veces el dolor es simétrico y poliarticular. Puede verse afectada cualquiera de las articulaciones, excepto la esternoclavicular, y en orden decreciente: hombro, rodilla, codo, cadera, muñeca y tobillo (FRUCTUS 1980). El establecimiento es gradual y va precedido muchas veces del deseo de mover el miembro; puede ser ligero como una molestia (“niggle”) o lacerante con sensación de desgarro. Los reflejos y tono motor son normales pudiendo existir incapacidad funcional por inhibición. Puede acompañarse de edema pariarticular, y suele ceder aplicando sobre la zona afectada un esfigmomanómetro e insuflándoselo (EDMONDS 1982).
El purito es la más común de las manifestaciones cutáneas (BENHKE 1951) y se presenta de ordinario en cámaras de descompresión tras buceos profundos y de corta duración; afecta a tórax, antebrazos, muñeca, nariz y dedos, a veces de foliculitis. Es debido a la presencia de micro burbujas entre dermis y epidermis y no precisa tratamiento.
Los rash erisipeloide y escalatiniforme son extensión uno del otro (EDMONDS 1982). Vienen precedidos de áreas intensamente que dejan un moteado. En el primero esta afecto el folículo piloerector mostrando un punteado rojo por liberación de histamina local. Se distribuye por tórax, hombros, espalda, parte superior del abdomen y muslos. El rash escalatiniforme a parece en las mismas zonas, impide el drenaje venoso y se considera una ED sistemática, forma pápulas agrupadas, aplastadas y de bordes firmes. La tos y la maniobra de Valsalva acentúan las marcas venosas de alrededor (Signo de Mellinghoff).
El cutis “marmorata” comienza como áreas pálidas con un moteado cianótico y puede diseminarse. Es manifestación de ED sistémica pudiendo demostrarse burbujas de gas en tejidos y vasos sanguíneos. La obstrucción linfática cursa como hinchazón localizada. Si afecta al folículo piloso muestra a la forma de “piel de naranja o de cerdo” con edema endurecido alrededor. Es común observarla en tronco, cara y cuello.
Enfisema subcutáneo: cursa con sensación de crepitación a la palpación en la vaina de los tendones, y visible a RX como gas. Es diferente al que aparece tras embolia de aire debida a sobrepresión.
ED Tipo II:
Las manifestaciones neurológicas son tan variadas como los ACV y se las clasifica según la situación anatómica, HALLENBECK (1976). A veces viene precedida de sintomatología de ED pulmonar. Son frecuentes los escotomas homonidos, uni o bilaterales, visión borrosa, dolor de cabeza, crisis migranoides, hemi – monoplejia, afasia, alexia, agnosia, disartria, alteraciones de la sensibilidad y estados confusionales. Pueden detectarse alteraciones del EEG en cortex occipital, FRYER (1969). Tras ED cerebral quedan a veces secuelas en forma de disturbios mentales permanentes que es necesario valorar mediante test psicométricos y de función cognitiva antes, durante y después de los tratamientos de recompresión.
Las lesiones cerebelosas mas comunes son la ataxia, incoordinación motora, hipotonía, dismetría, asinergia, temblor y nistagmo. Los “staggers” (tambaleo) se cree son lesiones del cordón vestibular posterior.
A nivel medular se afectan sobre todo los segmentos torácicos inferiores y lumbares superiores. La medula cervical se lesiona raras veces. La sintomatología va precedida de dolores segmentarios o en cinturón, que no siempre siguen distribución segmentaria, hormigueos, paresias, parestesias en miembros inferiores y parálisis de grado variable según la intensidad de la ED. Es frecuente la parálisis de ambos esfínteres.
A nivel gastrointestinal la ED cursa con anorexia, nauseas, vómitos, dolores abdominales y diarrea. Existen casos descritos de isquemia e infarto intestinales.
Manifestaciones pulmonares: representan un 2 % de la ED y es clásica la descripción de dolor retroesternal acompañado de dificultad a la inspiración, finalizando con disnea y colapso circulatorio.
El shock hipovolémico con hipotensión postural es una de las formas mas graves de ED Tipo II, asociada con ED grave y/o recompresiones repetidas.
Las repercusiones clínicas de la ED sobre el VIII par están especialmente asociadas a las descompresiones rápidas con Helio – O2 y cursan con nauseas, vértigo, desorientación, nistagmo y grados variables de sordera. Debe hacerse el diagnostico diferencial con el barotrauma de oído medio.
Diagnóstico de la ED
Es evidente cuando parece la sintomatología clínica descrita después de haber realizado una inmersión de buceo. Se han descrito cuadros ajenos a la ED ocurridos durante operaciones de buceo con los que debe establecerse el diagnostico diferencial: apendicitis (BEHNKE 1967), rotura de bazo (SONNENBURG 1969), síndrome de Munchausen (KEMP & MUNRO 1969), hemorragia subaracnoidea divida a una malformación arteriovenosa (VIQUEIRA 1986), etc. La patología quirúrgica es complicada bajo condiciones hiperbaricas, por lo que es necesario discernirla con claridad.
Las investigaciones complementarias como radiografías, laboratorio, etc., no deben retrasar la recompresión de prueba que sigue siendo el método diagnostico más sencillo.
En la actualidad se utilizan medios sofisticados parara la detección y control evolutivo de la formación de burbujas en buceadores. La mayoría se basan en efecto Doppler (SPENCER 1971) o en scaners bidimensionales, si bien sus aplicaciones practicas suelen ceñirse a centros experimentales.

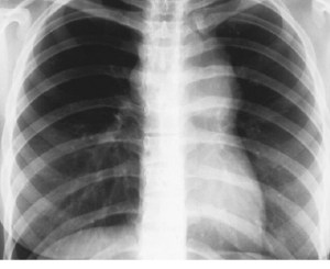
- Neumomediastino observado en un accidente leve de sobreexpansión pulmonar sin sintomatología neurológica pero con enfisema subcutáneo importante. Observese la fina silueta que delimita y perfila la sombra cardiaca. (Dr. Desola).
SOBREEXPANSION PULMONAR. Fernando Gallar Montes
Variaciones del volumen y de la presión intratoracicos en la inmersión
Cuando un buceador se sumerge en apnea, el efecto de la presión ambiental sobre las cavidades de su cuerpo dotadas de paredes elásticas como el tórax y el abdomen hace que el volumen de estas cavidades vaya disminuyendo proporcionalmente a la profundidad alcanzada, al mismo tiempo que aumenta la presión del aire contenido en ellas. (Fig. 1)
Recordemos que estas variaciones de volumen y presión tienen lugar de forma exponencial: desde la superficie a los 10 m.c.a. en tanto que la presión ambiental (e intratorácica) aumenta al doble, el volumen pulmonar disminuye a la mitad. De los 20 a los 30 m., la presión se hace 3 veces mayor que en la superficie y el volumen pulmonar se reduce a una tercera parte. A los 30 m., con 4 ATA, la presión es 4 veces superior a la de superficie y el volumen es de una cuarta parte. (Fig. 1)
Contemplando el grafico adjunto podemos comprobar como los cambios relativos de presión y, como consecuencia, de volumen son mayores cerca de la superficie (Fig. 3). Si desde esta a los 10 m. la presión se eleva al doble y el volumen se reduce a la mitad, desde los 80 m. (9 ATA) hasta los 90 (10 ATA) las variaciones de presiones y volumen serian tan solo una décima parte. En otro sentido, cuando el buzo asciende, en los últimos 10 m. la presión disminuirá a la mitad de su valor en tanto que los pulmones alcanzaran el doble de su volumen. Esto explica que los mayores problemas en relación con la presión y el volumen pulmonares se presenten siempre en los últimos metros del ascenso. (Ver capitulo de “El buceo en apnea”).
|
|
PROFUNDIDAD |
PRESION RELATIVA |
PRESION ABSOLUTA |
VOLUMEN DEL GAS |
DENSIDAD |
|
0 M |
0 pies |
0 atm |
0 atm |
1 |
X 1 |
|
10 M |
33 pies |
2 atm |
2 atm |
1/2 |
X 2 |
|
20 M |
66 pies |
3 atm |
3 atm |
1/3 |
X 3 |
|
30 M |
99 pies |
4 atm |
4 atm |
1/4 |
X 4 |
Fig. 1.- La reducción del volumen gaseoso es proporcional al incremento de la presión absoluta. (Según Strauss).
El buceo con aire comprimido, al equilibrarse la presión intratorácica con la presión ambiental no se produce variación del volumen torácico en relación con la profundidad. El volumen pulmonar es el mismo a 30 o a 60 metros que en la superficie; lo que varía exponencialmente con arreglo a la profundidad alcanzada el la presión intratorácica: a 30 m., la presión del aire alveolar es de 4 ATA, equivalente a la presión exterior (Fig. 2).
Si un buceador cuyos pulmones están llenos de aire hiperbarico asciende hasta la superficie o, simplemente, hasta aguas más someras deberá equilibrar su presión intrapulmonar con la presión ambiental, que va disminuyendo progresivamente. La forma más eficaz de lograrlo es mantener una espiración suficiente; de tal manera que, en el buceo autónomo, la duración de los tiempos respiratorios en el ascenso debe ser invertida, siendo la espiración mas prolongada que la inspiración.
En realidad un buceador autónomo que asciende puede prescindir por completo de la inspiración, ya que la superior presión del aire que contienen sus pulmones con respecto a la presión ambiental hace que la pO2 alveolar se mantenga siempre por encima del gradiente necesario para asegurar su difusión a la sangre del capilar pulmonar. Pero, psicológicamente, es muy difícil prescindir de tiempo inspiratorio.

- Fig. 2.- En el interior de un submarino, la presión permanece a 1 atmósfera en el curso de la inmersión (presión a nivel del mar). Durante la inmersión en apnea los pulmones son comprimidos y la presión de aire en su interior es aproximadamente la misma que la ambiental. En el buceo con aire comprimido, el buceador recibe la mezcla respiratoria a una presión igual a la ambiental por lo cual el volumen pulmonar permanece inalterable durante la inmersión, pero la presión del aire contenido en los pulmones aumenta a medida que aumentas la profundidad. (Según Strauss).
Con arreglo a los conceptos desarrollados hasta aquí, podemos apreciar que, en tanto el buceo en apnea los cambios de volumen y presión se producen correlativamente, sin que en ningún caso el volumen pulmonar pueda exceder del que tenia en superficie, en el buceo con aire comprimido el volumen pulmonar permanece inalterable a cualquier profundidad durante el descenso y permanece en el fondo; en tanto en el ascenso, el eventual desequilibrio entre la presión intratorácica y la ambiental puede forzar un aumento del volumen pulmonar sin mas limites que el que pueda imponer la resistencia de las paredes torácicas.

- Fig. 3.- Aplicación de la ley de Boyle a la relación entre volumen y presión en la profundidad. (De NOAA Diving Manual).
Patología
La sobreexpansión pulmonar (hiperpresión o sobrepresión pulmonar o embolia de aire traumática) es un accidente típico del buceo con escafandra autónoma, ya que es necesario que el sujeto este respirando un aire hiperbarico para que, en el ascenso, aumente el volumen de sus pulmones.
A medida que el sujeto asciende en el agua, la presión ambiental disminuye, y el volumen del aire comprimido en sus pulmones aumenta exponencialmente. Si en vez de exhalar el aire por medio de una espiración prolongada (incluso continua, en el caso de escape libre) el buceador bloquea su respiración por cualquier causa, el resultado será un aumento progresivo de la presión y del volumen pulmonar (un buceador cuya capacidad pulmonar es de 6 litros de aire para ascender desde los 10 m.c.a.) hasta el limite de su capacidad máxima.
La hiperpresión del aire en los alveolos determina el desplazamiento de la sangre contenida en el lecho de capilar pulmonar. El vaciamiento por expresión de los vasos pulmonares produce un aumento suplementario de la CP. El tejido pulmonar es distendido hasta la ruptura de la pared alveolar, a consecuencia de la cual, el aire se infiltra hasta el tejido conectivo del mediastino y hacia la base del cuello produciendo un enfisema, o al espacio intrapleural, ocasionando un neumotórax.
Cuando el sujeto emerge a la superficie y reanuda la respiración normal, la expulsión del aire comprimido lleva a una caída de la presión intrapulmonar hasta valores atmosféricos, lo que permite la restauración de la circulación pulmonar y si, como es muy frecuente, los desgarros tisulares producidos por la sobrepresión han afectado a las paredes de los vasos, el aire, en cantidades considerables muchas veces, es introducido en la circulación pulmonar, y después de atravesar el corazón izquierdo, enviando a la circulación sistémica. El aire, en forma de burbujas, puede bloquear pequeñas arteriolas ocasionando infartos, especialmente peligrosos en las localizaciones cerebrales y coronarias (Miles y Wright).
Trabajos de este autor y de Malhotra sometiendo a hiperpresión pulmonar conejos traqueotomizados con posterior pinzamiento de la cánula, parecen incluir la idea de que la causa de la lesión pulmonar (desgarro alveolar) no es propiamente el aumento de la presión intraalveolar si no la distensión de sus paredes _La rotura tisular se produce cuando el gradiente aire alveolar/ambiente es de 80 mmHg o más; es decir que con el ascenso hasta la superficie de 1 m. de profundidad y aun mas fácilmente si fue precedido de una inspiración profunda. En conejos a los cuales se a vendado tórax y abdomen, el gradiente necesario para producir rotura alveolar es de 133 – 190 mmHg.
De otra parte, presiones intraalveolares muy elevadas se producen, por ejemplo, en los accesos de tos sin que (salvo en los raros casos de neumotórax espontaneo) se origine rotura alveolar, lo que es atribuible a la notable resistencia de los tejidos a la expansión como consecuencia de la contracción muscular.
Fig. 5- Efectos de la hiperpresión pulmonar.
-
Embolia cerebral.
-
Burbujas de aire que discurren por la carótida hacia el cerebro.
-
Enfisema mediastínico.
-
Aire que se infiltra hacia el mediastino a lo largo de pequeños bronquios.
-
Alveolo desgarrado.
-
Penetración de aire en un baso sanguíneo.
-
Penetración de aire en la cavidad pleural (neumotórax).




